Bone Marrow Histopathology

Hairy cell leukaemia

定義(WHO 5th classification)

有毛細胞白血病(HCL)は,通常,骨髄,末梢血および脾臓に発現し, 95%以上の症例でBRAF p.V600E体細胞変異を有する、豊富な細胞質と特徴的な毛状突起を有する腫瘍細胞から成る,
低悪性度の成熟B細胞新生物である

WHO 5th HCL --> fileHairy cell leukaemia-WHO5th.txt

 

Hairy cell leukaemia 有毛細胞性白血病 --疾患説明と診断のページを見る.

HCL case

splenomegaly.jpg

40歳代男性

かかりつけ医で高血圧治療中, 6ヶ月前, WBC1900/μl(neutro 700), RBC 325x104/μl, Hb 12.8g/dl, Plt 5.1x104;. 顆粒球減少, 血小板減少あり.
今回 WBC 1100μl(Neutro 400), RBC 325x104/μl, Hb 11.0g/dl, Plt 3.4x104と血球減少が進行, 紹介となる.

入院し精査. 骨髄はDry tap. CTでは脾腫が認められた. 末梢血には, 芽球, 幼若細胞の出現なし. 骨髄線維症よりもリンパ球系腫瘍が疑われた. 骨髄生検を行う.
生検組織塗抹標本で急性白血病は否定. 自覚症状なく外来での精査可能と判断される.

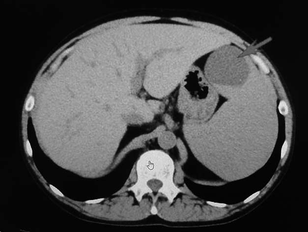
腹部CT: 脾腫を認める. 脾腹側に4cm大の境界明瞭な腫瘤がみとめられ, 放射線科の診断はリンパ管腫などを疑うとされている.

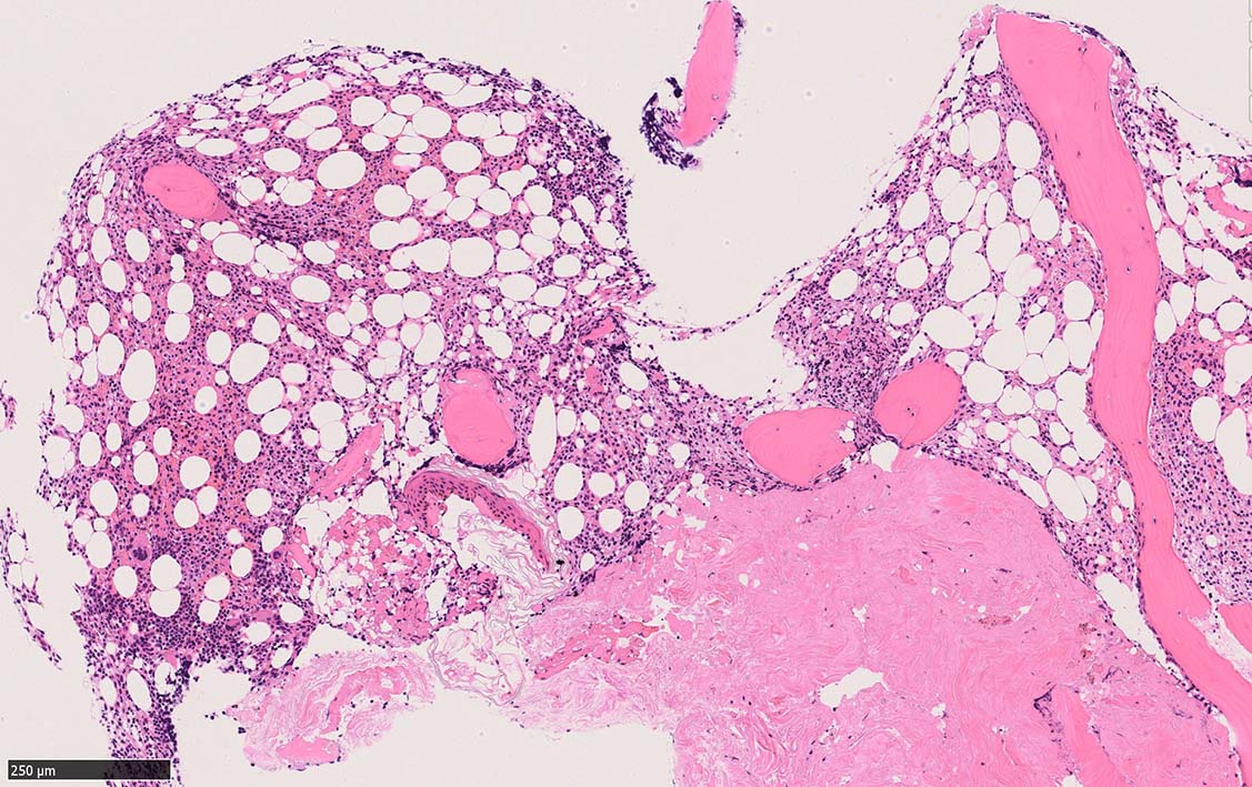
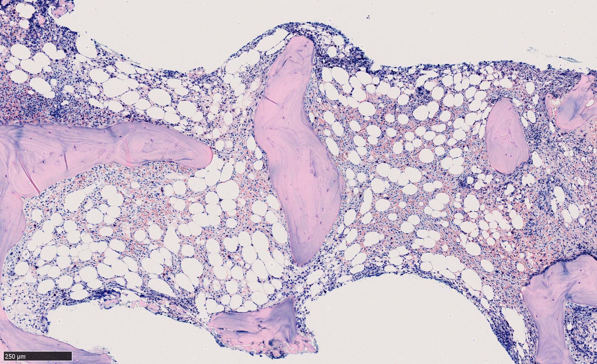
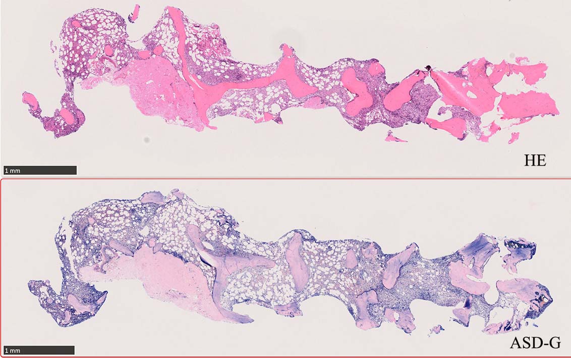
骨髄生検

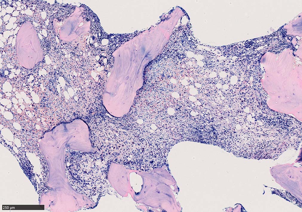
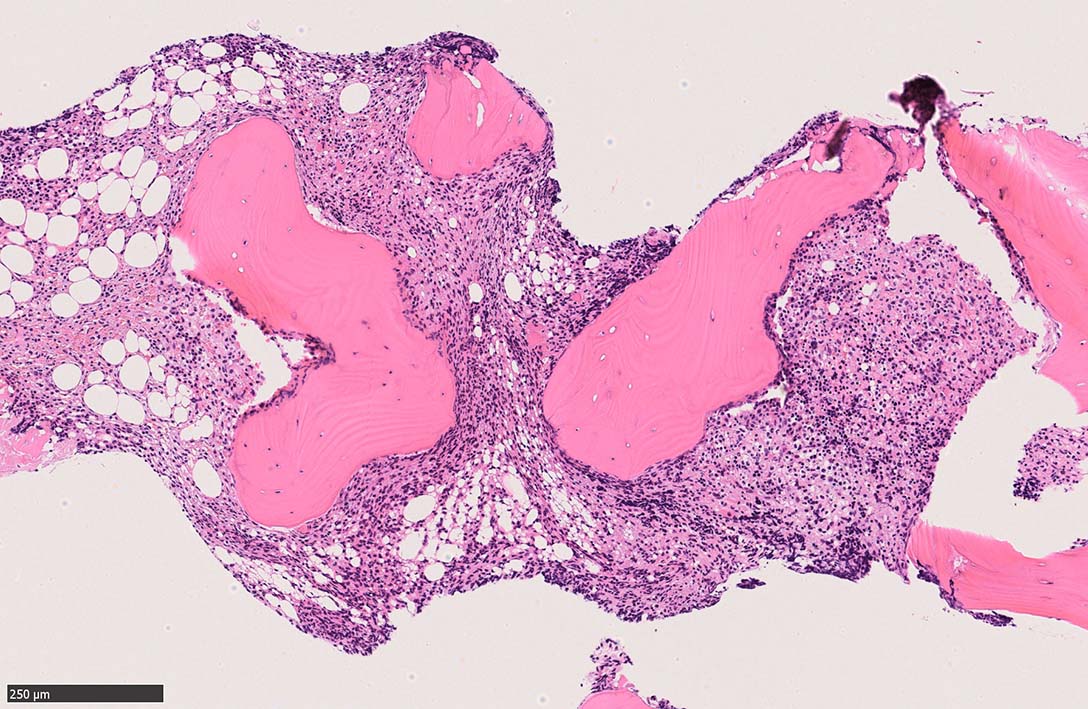
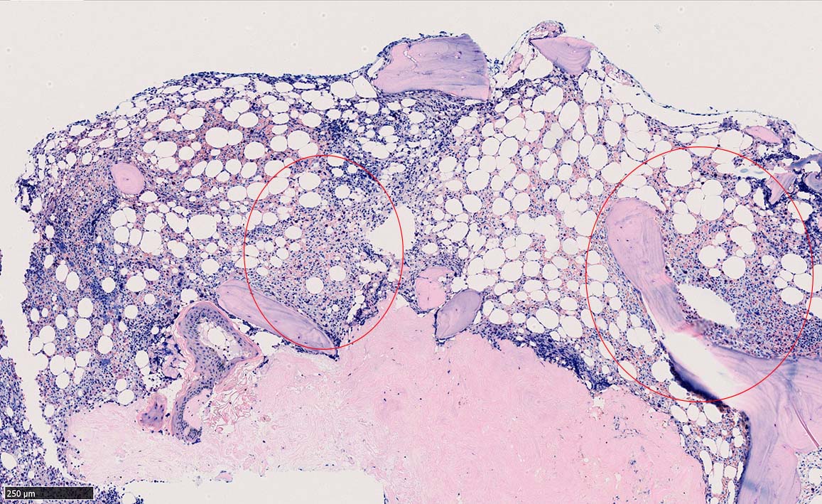
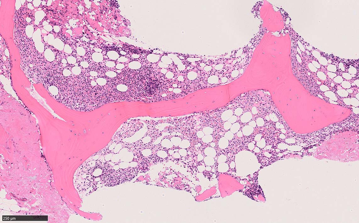
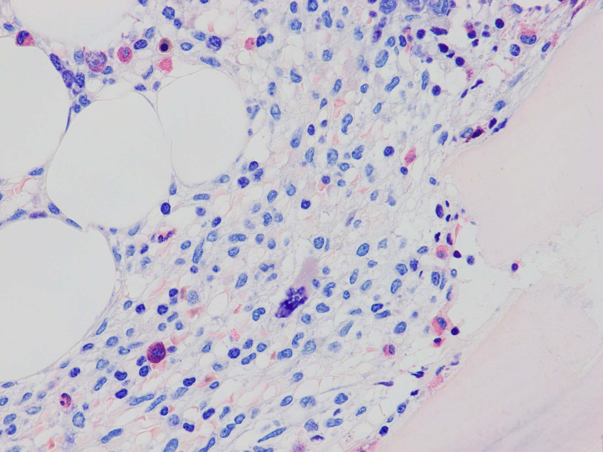
bone marrow trephine biopsy: dry tapのため骨髄生検が行われる. cellularityは40-80%とhypercellular marrow. 流れのある細胞配列は線維化を疑わせる.

 

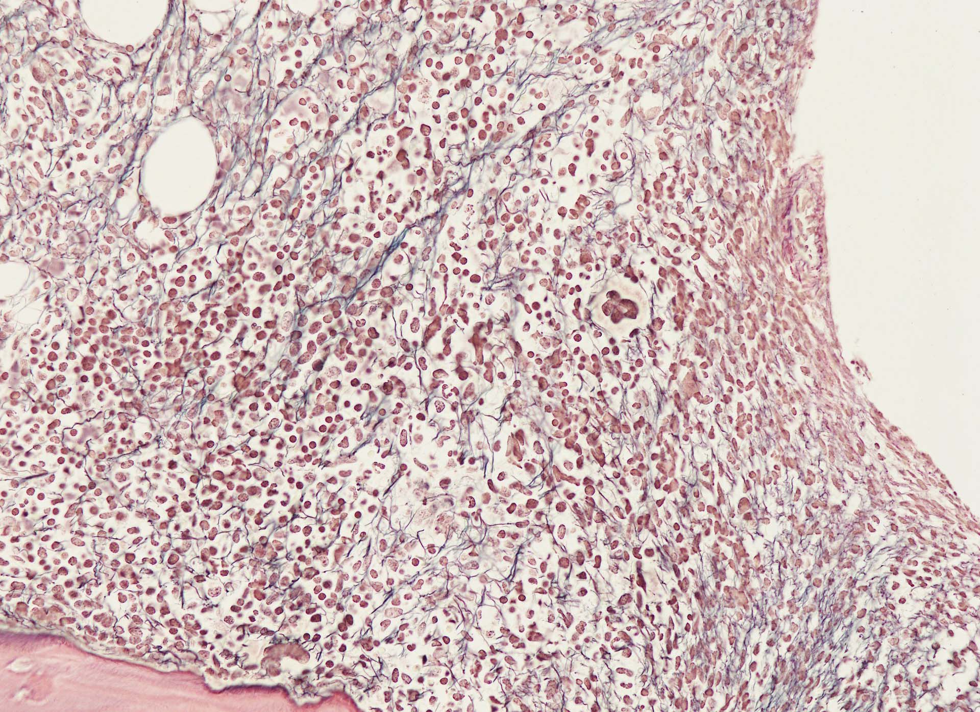
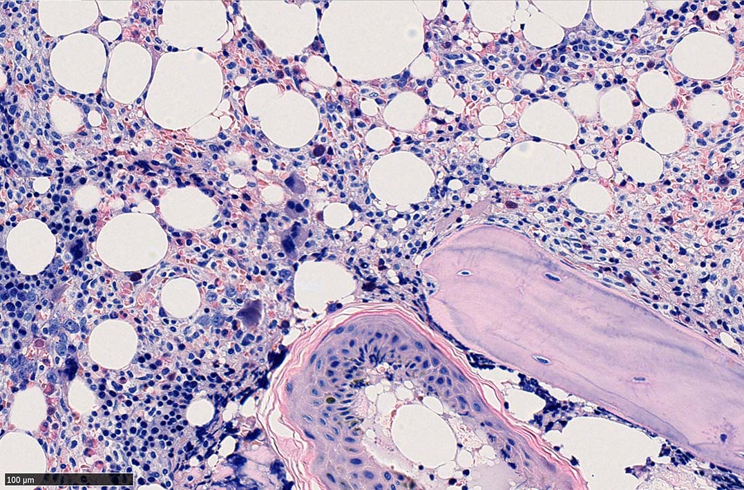
ASD-G 低倍率所見では赤芽球血島は幼若赤芽球の集簇巣が散在する, 顆粒球系細胞(ASDに赤く染色される)は減少,granulopoietic hypoplasiaを呈する.疎な集簇を示すmast cellsの増加がある.
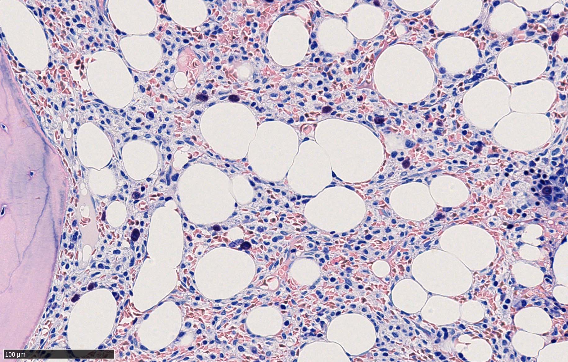
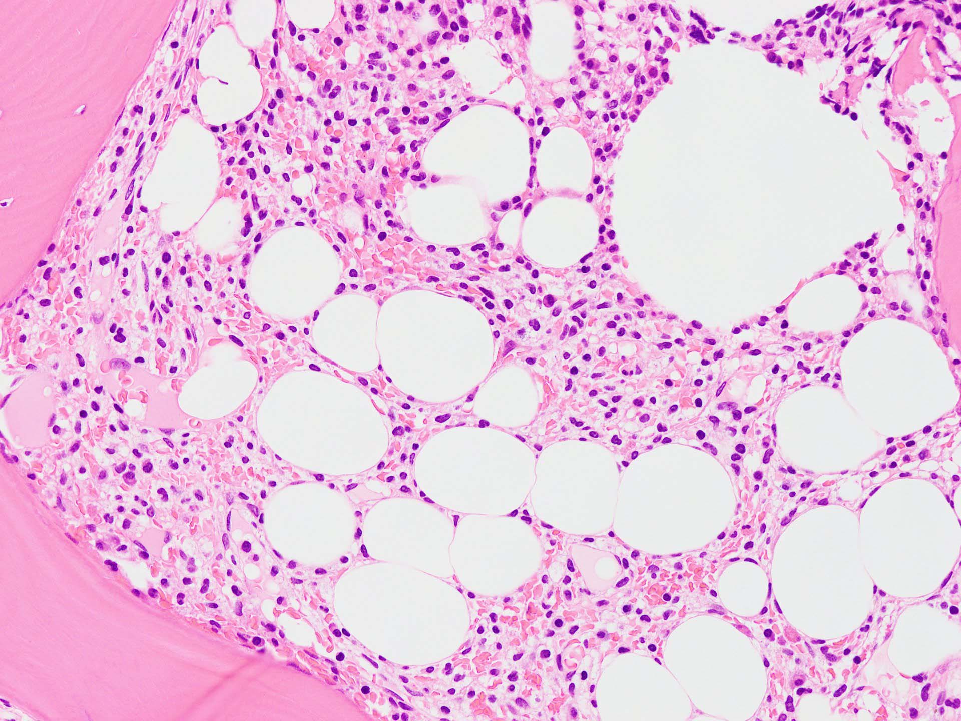
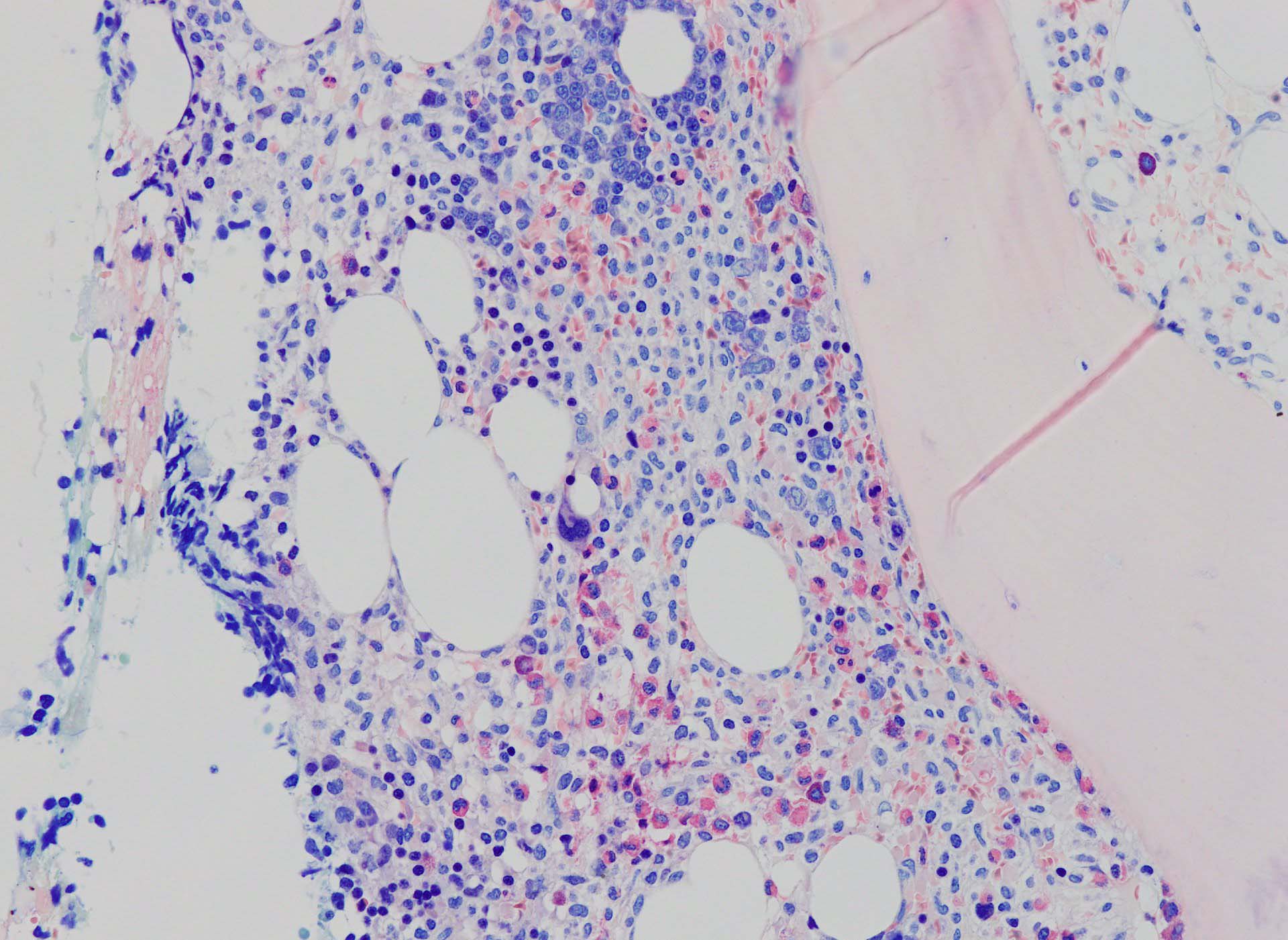
ASD-G陰性の細胞がびまん性に増加しているように見える.

 

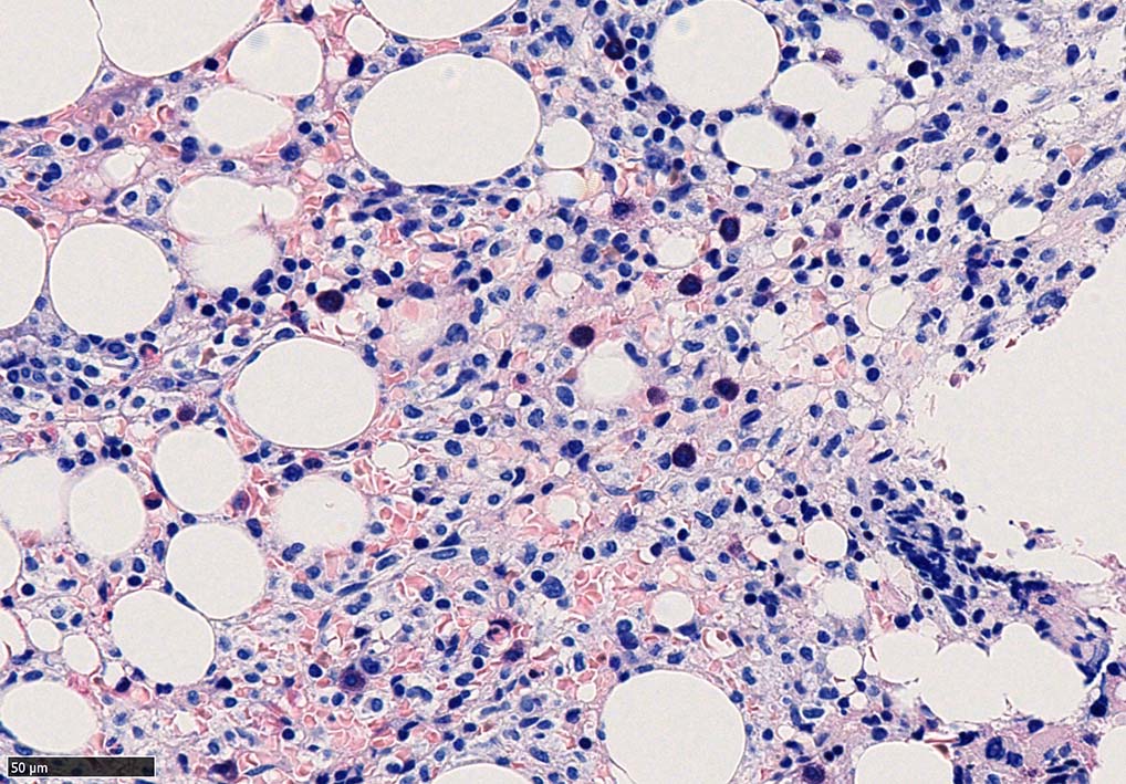
ASD-Giemsa陰性の細胞がシート状に増殖する. 核はクロマチン濃染, 核小体は不明瞭.類円形, 卵円形, くびれを持つ多稜形核, 長円形いびつで屈曲した核, など多彩. 細胞質は淡清色調, 広く淡明. 赤芽球血島は幼若赤芽球のみで形成される異形成像を示す. やや離れて成熟赤芽球が疎な集簇を示す.

 

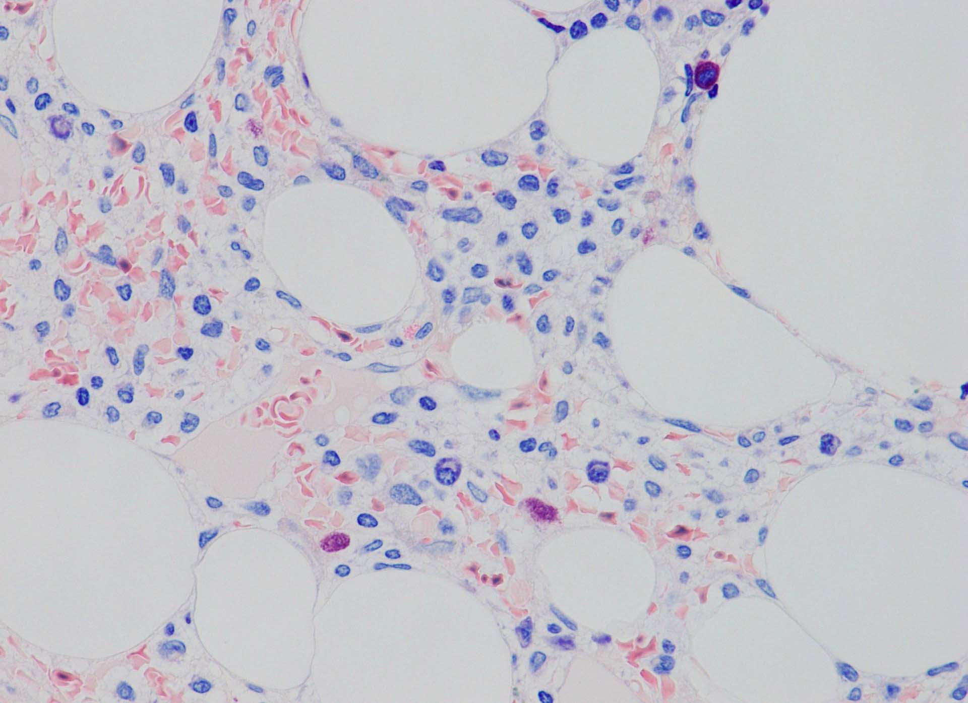
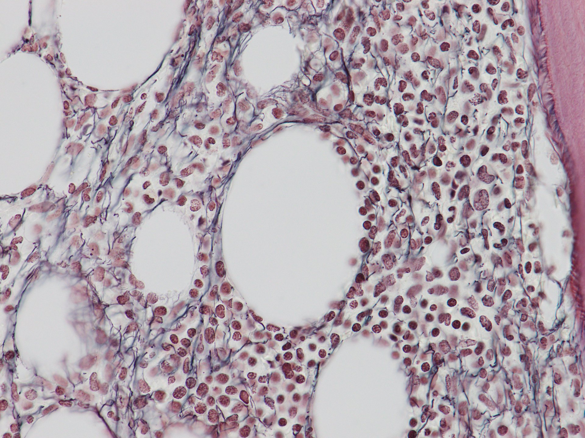
Ag染色では, 疎な弾性線維が増生し,増殖細胞を小胞巣状に分画するいわゆる「lymphomatoid pattern」を呈する. 本例では, Mgkに異形成所見がある.

 

Immunophenotype

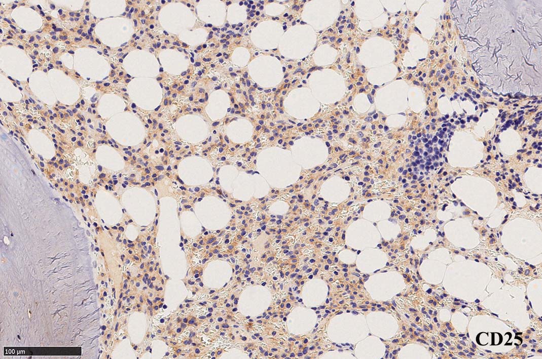
骨髄生検組織を使ったFCMのため, 細胞数が少数であるがCD19, CD20陽性のB-cellが優位で, lambda LC > kappa LCの偏倚がみられclonalな増殖が考えられる. B-cellはCD11c, CD25も発現している. Hairy cell leukaemiaが疑われる. CD103はこのFCMセットには組み込みがなかった.

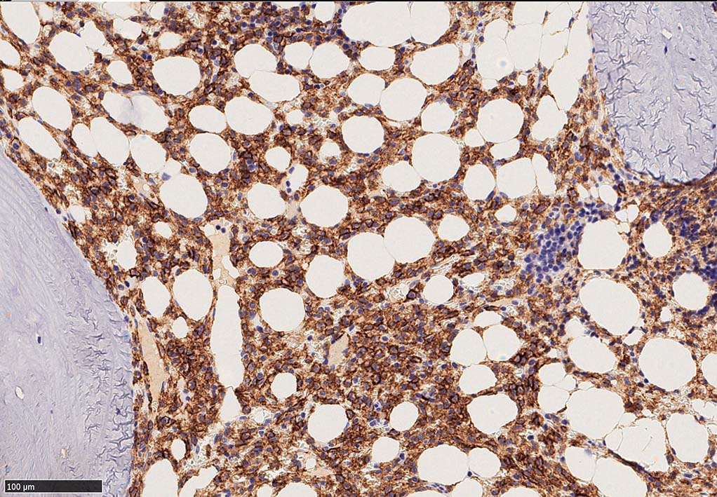
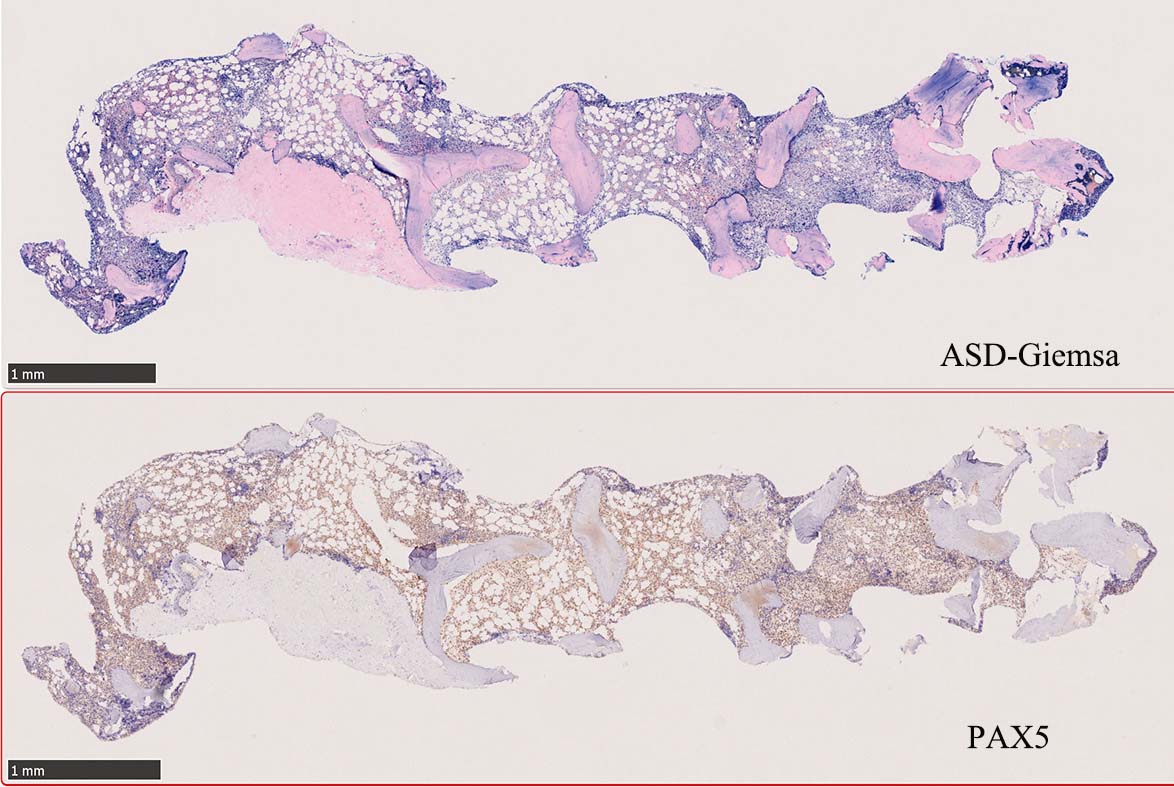
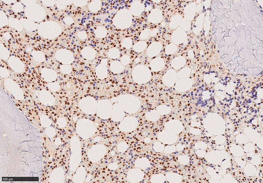
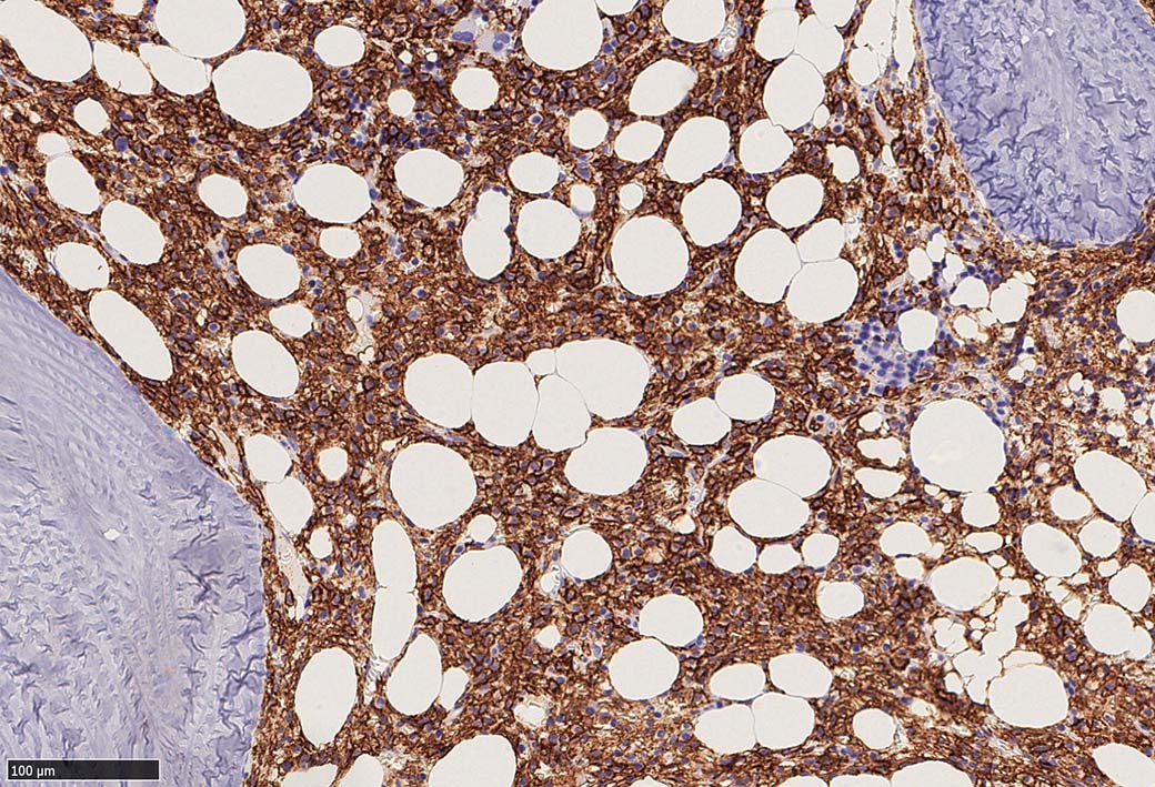
Hairy-FCM のコピー.jpg ASD-up-PAX5ok.jpg びまん性にPAX5陽性の小型B-cellsが増殖している.

 

増殖細胞はCD20(相変わらずべったり染まる), CD19, PAX5陽性 CD25陽性.

 

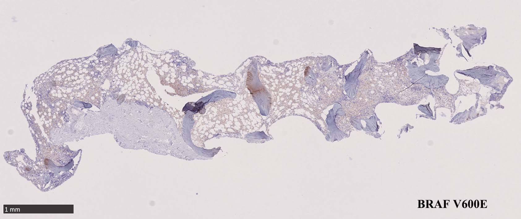
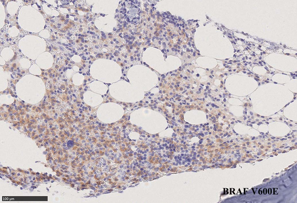
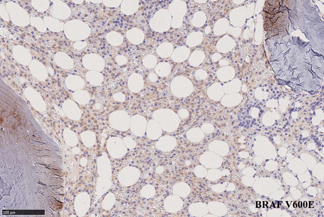
BRAF V600E変異タンパクの免疫染色(山梨医大 大石先生に染色していただきました. ベンタナ, Optiview)

Pathological Diagnosis: Hariy cell leukaemia


トップ   新規 一覧 検索 最終更新   ヘルプ   最終更新のRSS