Tick bite
Severe fever with thrombocytopenia syndrome - SFTS, 重症熱性血小板減少症候群†
症例の報告, 骨髄病理所見--IWT case
80歳代男性. 茶畑で作業中, 日常的にダニ咬傷あり. X月22日夜間発熱. 2日後にM病院救急外来受診. SARS-CoV-2陰性. 血液検査, 胸部X-p検査を行い. 異常なし. 解熱剤投与でいったん帰宅する.
25日も発熱が持続, CBCで白血球減少, 血小板減少あり, M病院入院し, 抗生剤の投与を受ける. 26日血小板減少進行, ダニとの接触歴より, 血清, 咽頭拭い液, 尿を環境衛生検査所へ送付. 27日(発熱より5日め)血清でSFTSV PCR陽性. SFTSの診断となる.
IWT hospital転院. 転院時意識低下傾向あり.
既往歴: 濾胞性リンパ腫. 化学療法により寛解状態が続いている.
CBC; RBC 382x104/μl, Hb 10.8g/dl, Ht 32.5, MCV 85.1, MCHC33.2, ret.0.27, WBC 700μl, diff. st6.0, seg 4.0, Eo 0.0, Ba 0.0, Mo25.0, Ly 63.0, atypical Ly2.0%, plt. 2.3x104/μl
Fe 109, UIBC 86, ferritin 12973. CRP(定量)1.16, プロカルシトニン 2.87(H)
作成中 サムネイルをクリックすると大きな画像が見られます.
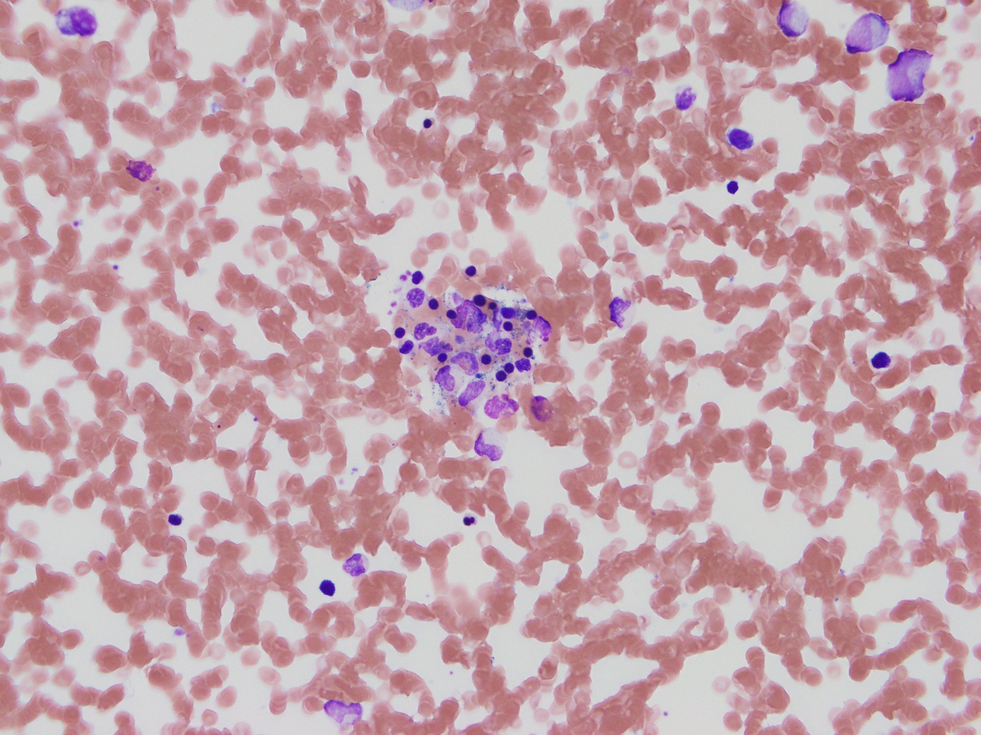
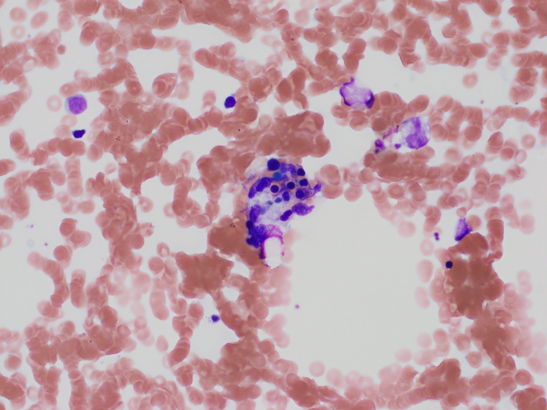
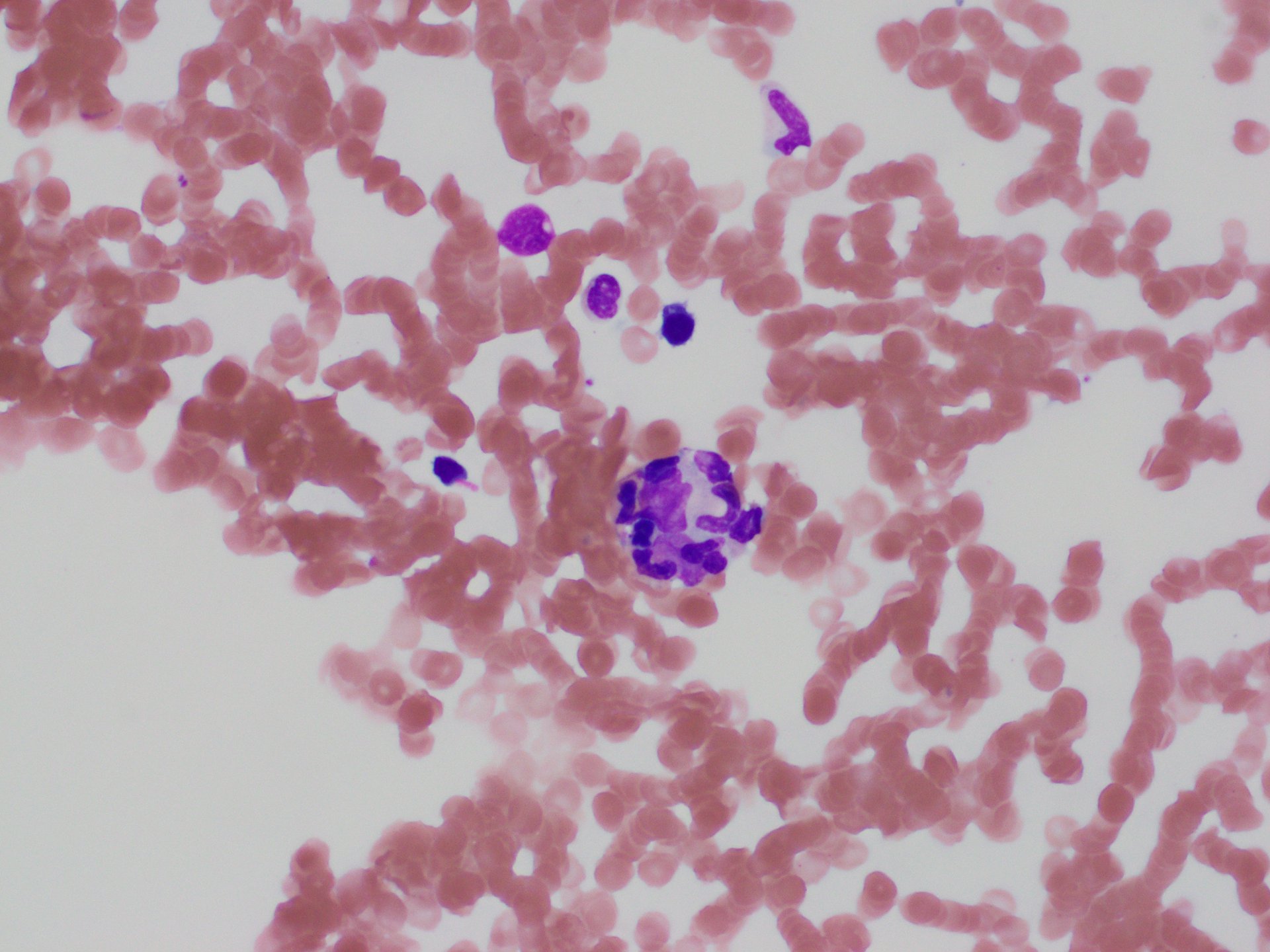
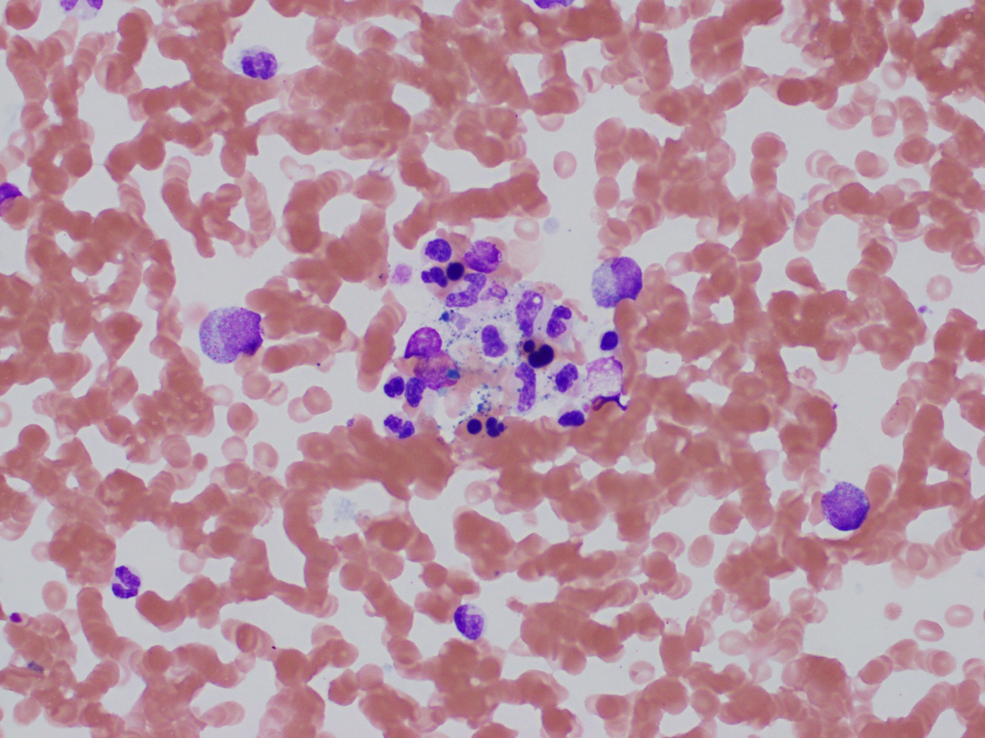
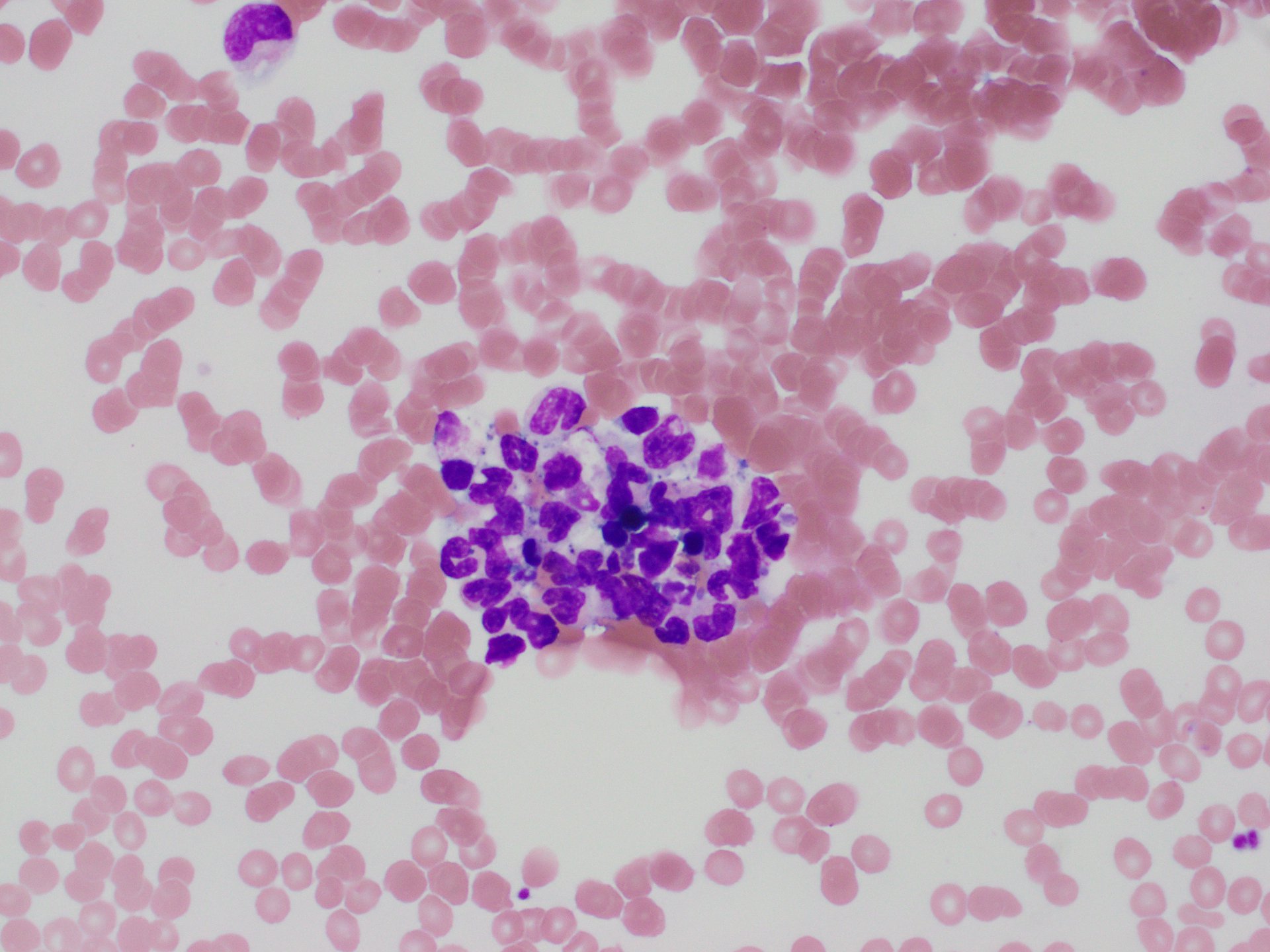
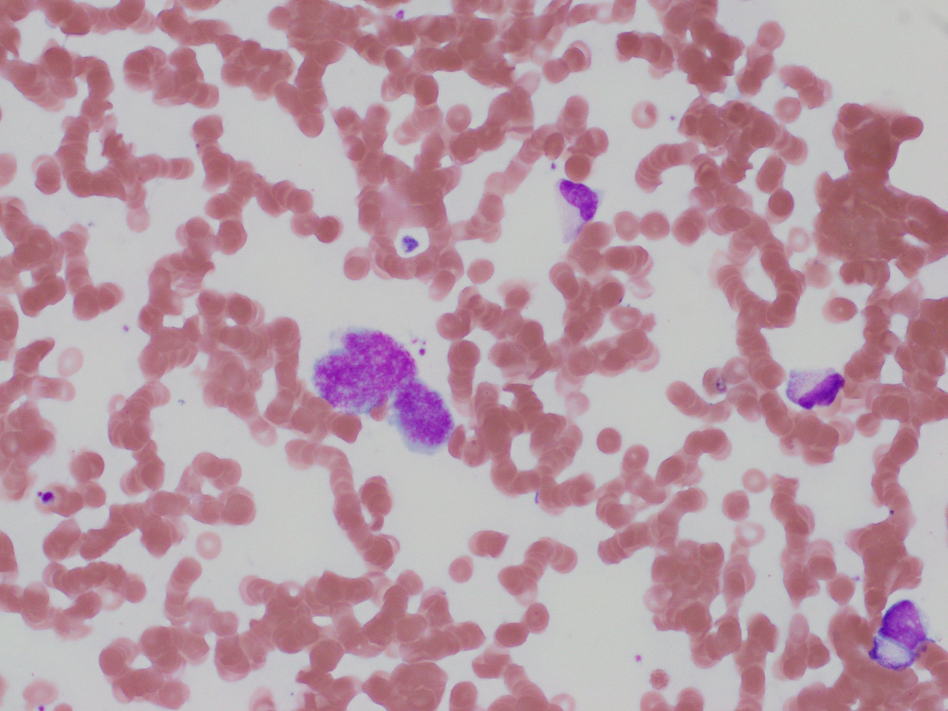
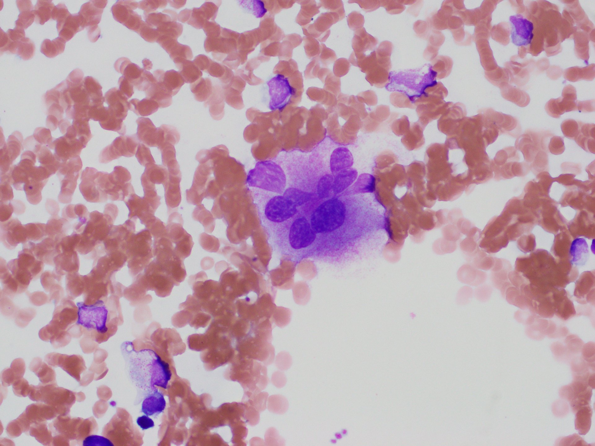
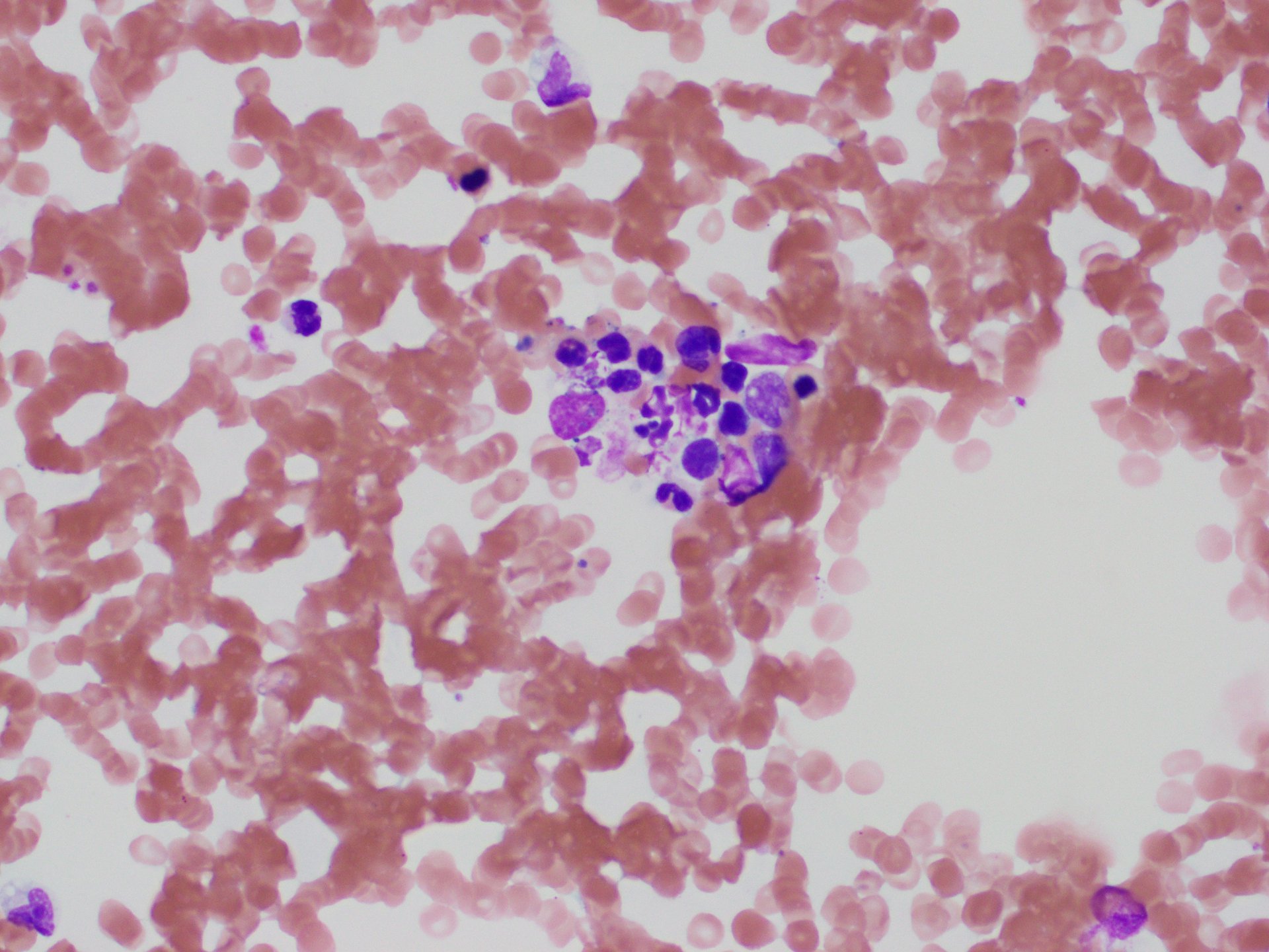
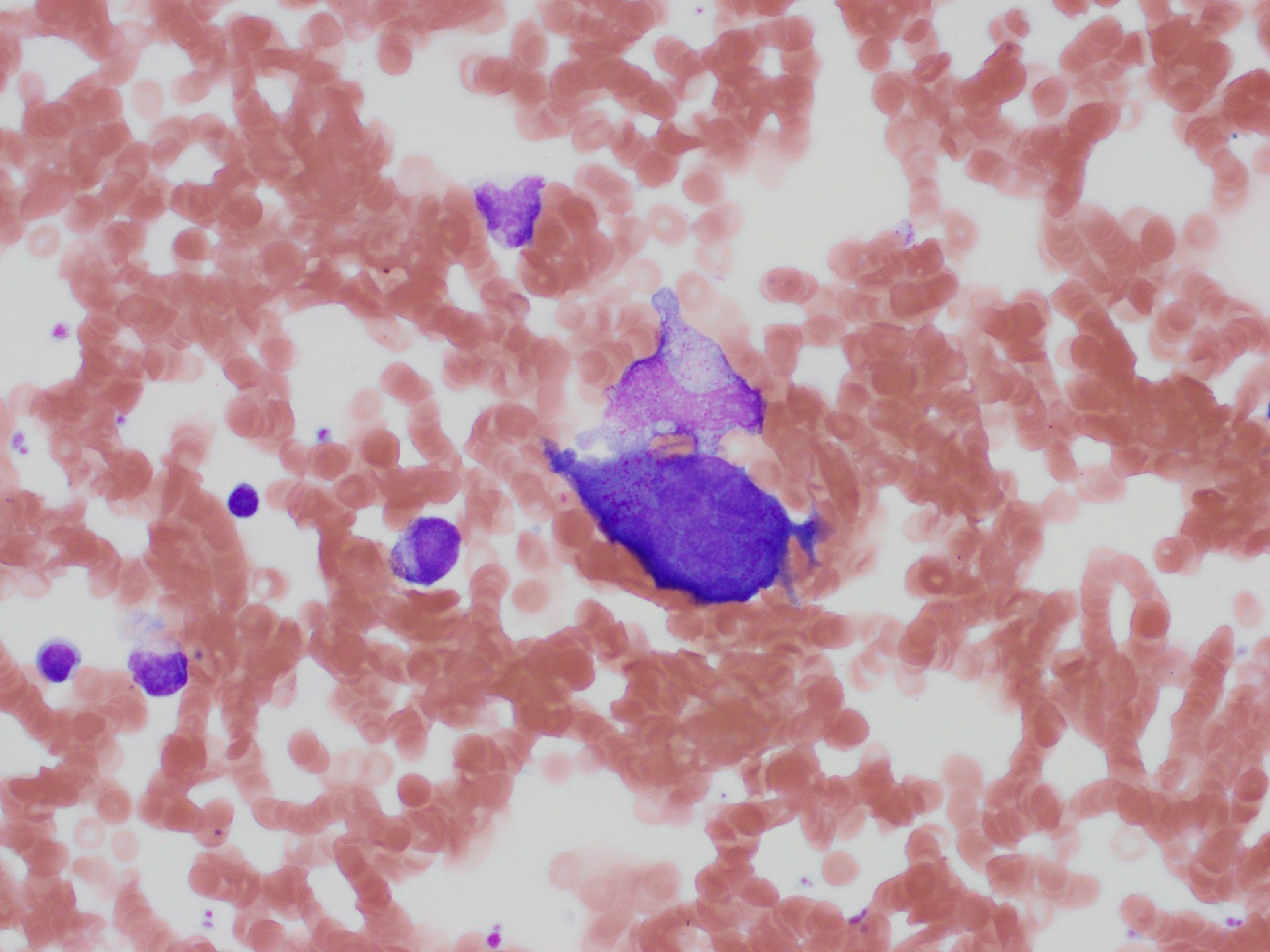
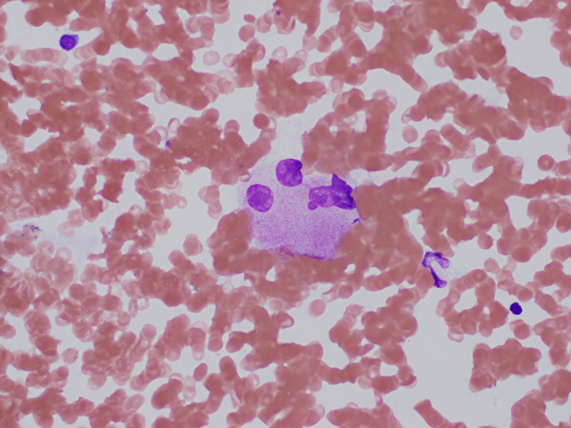
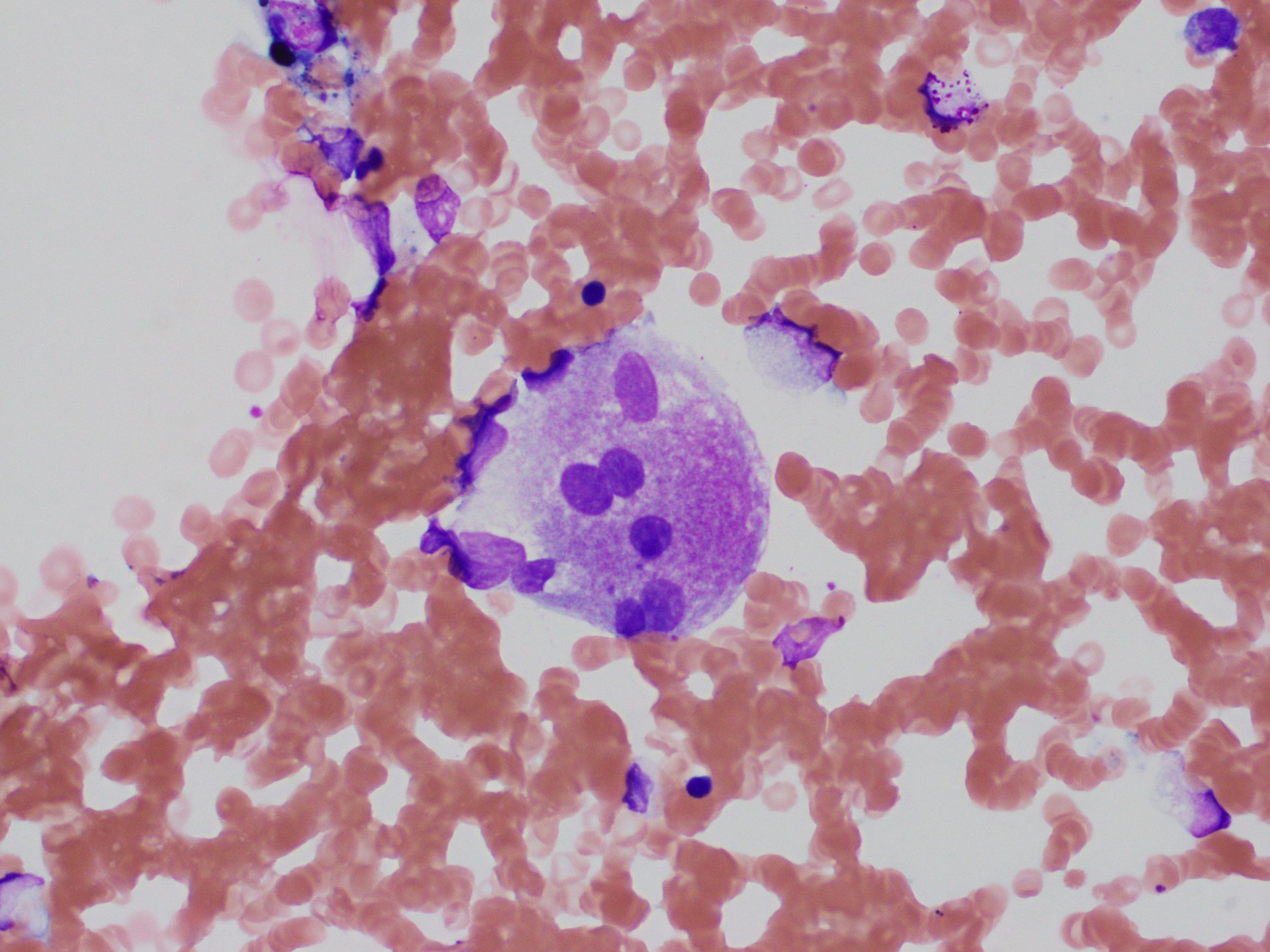
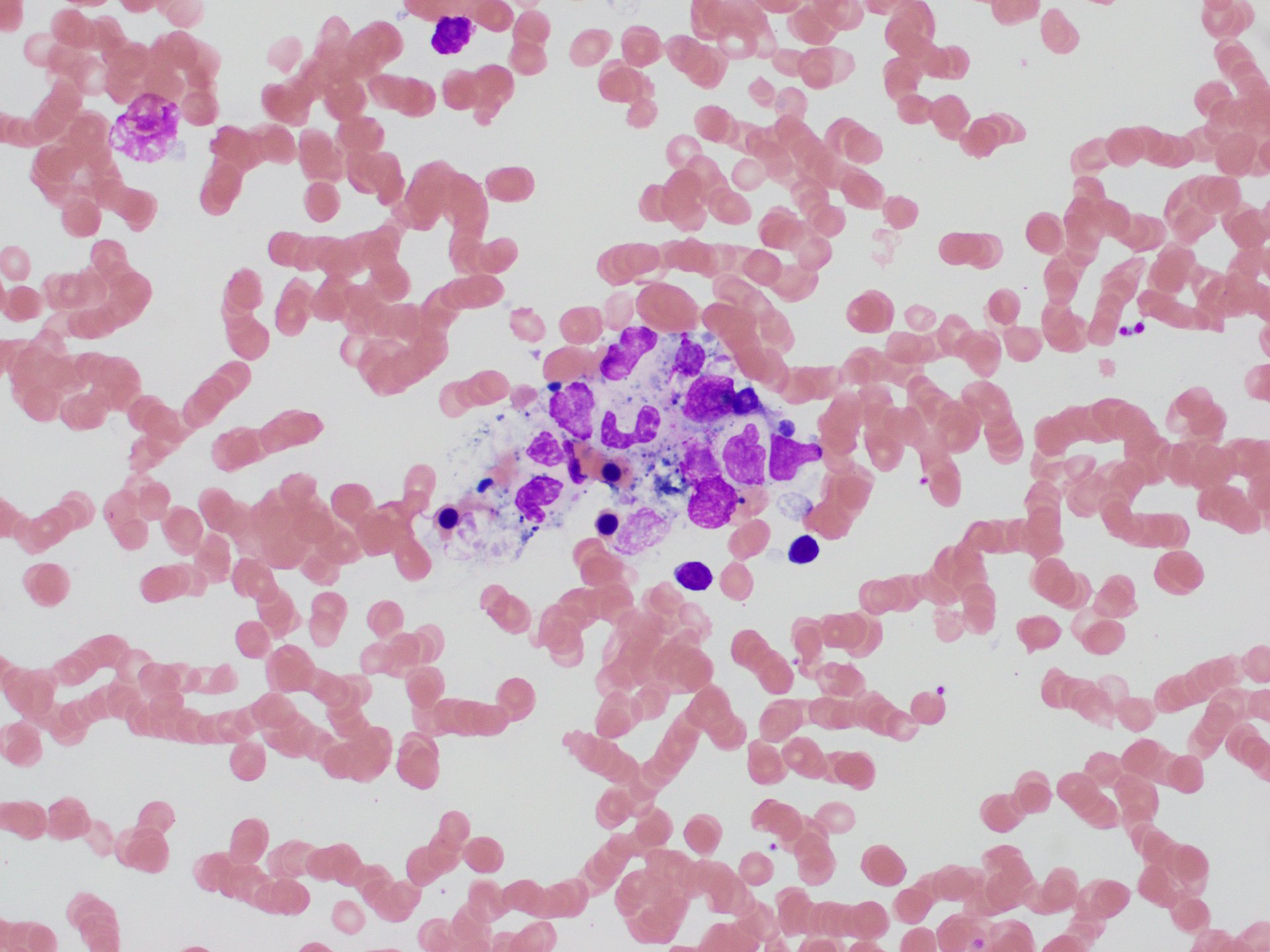
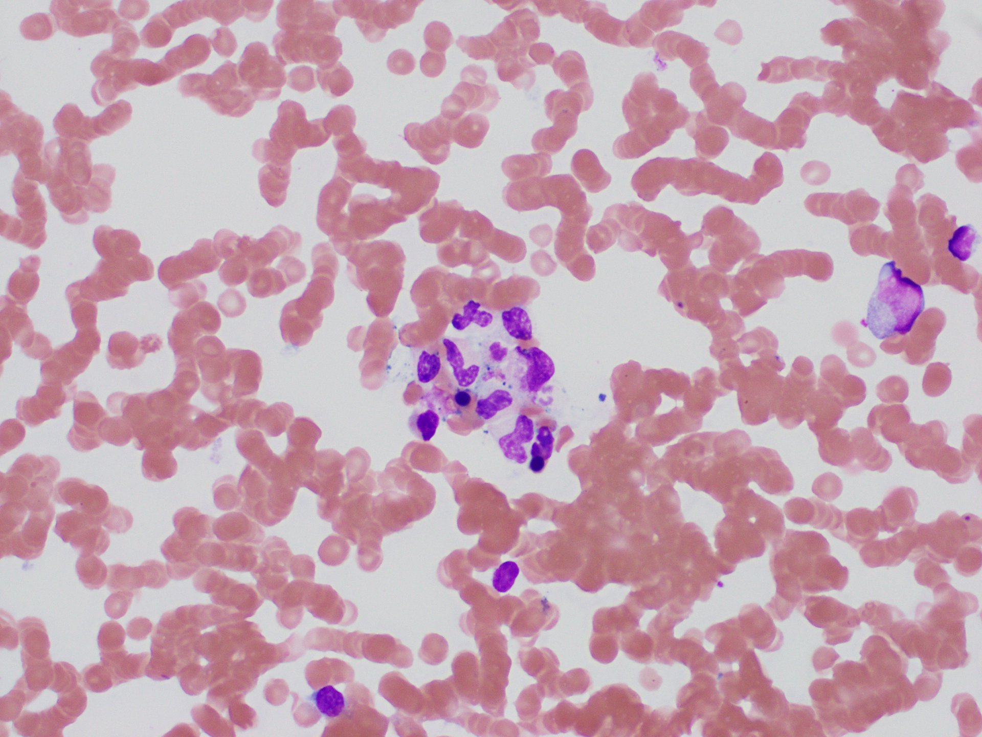
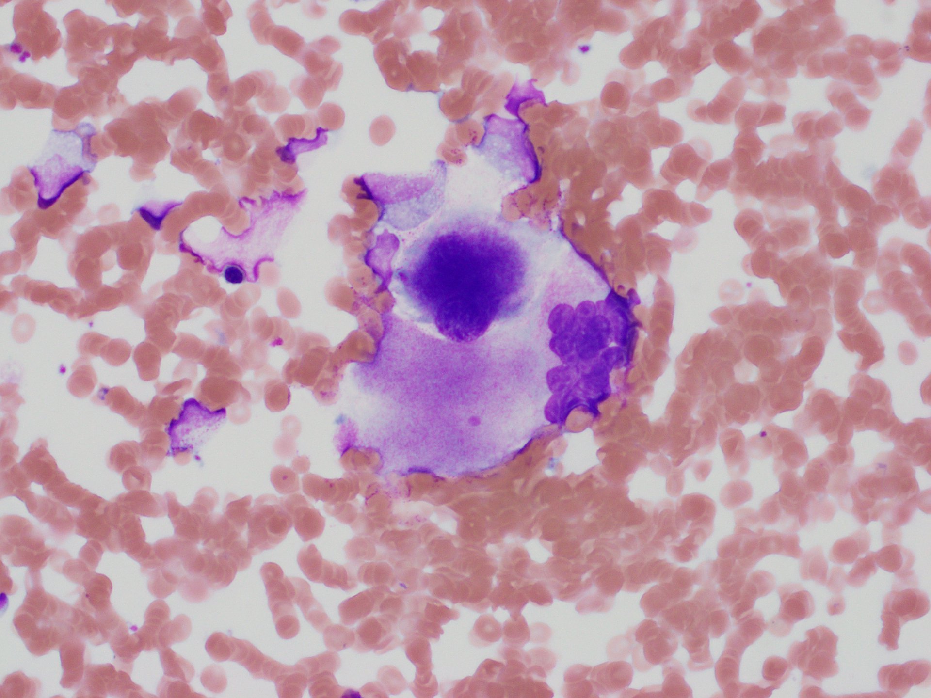
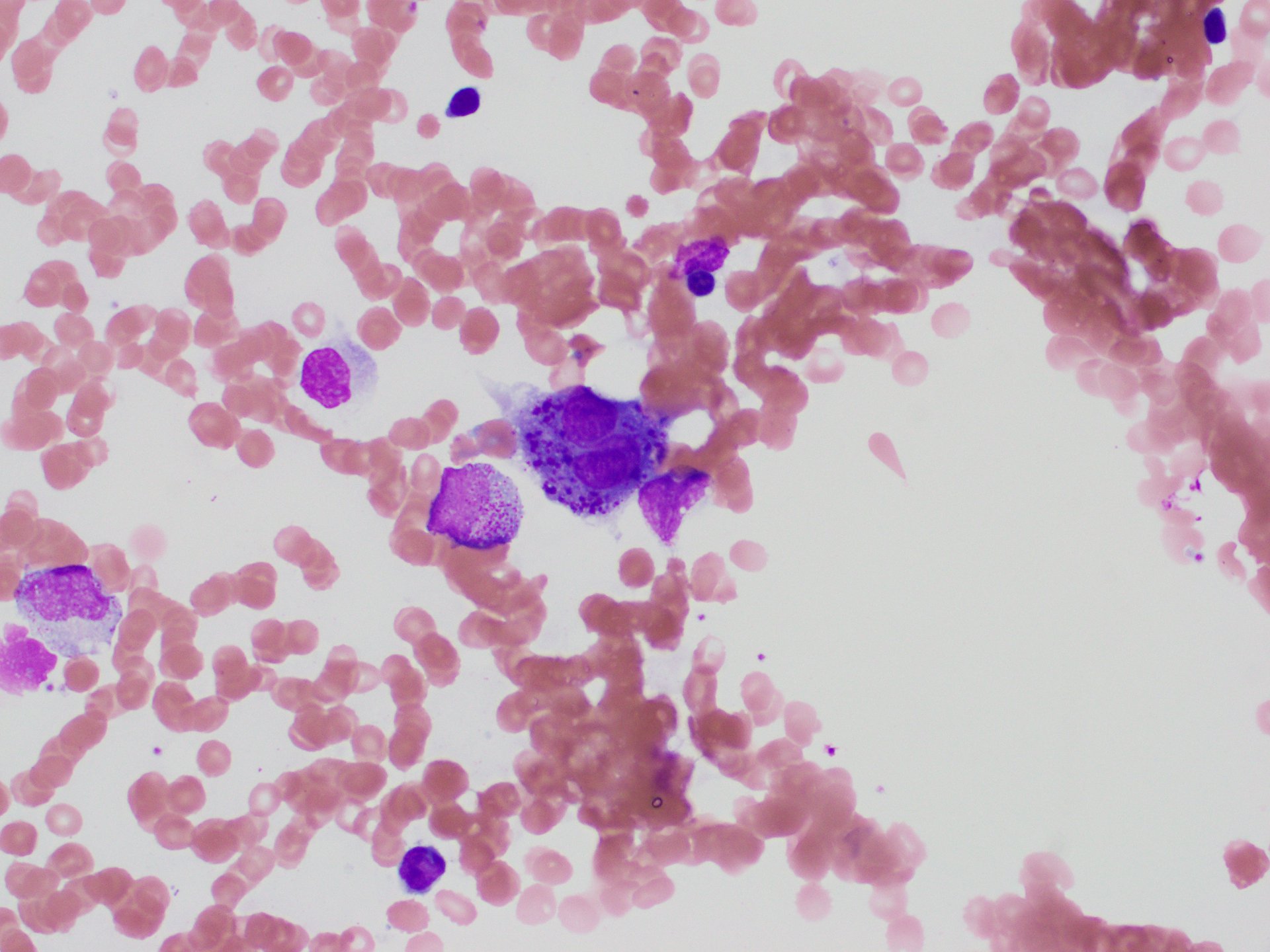
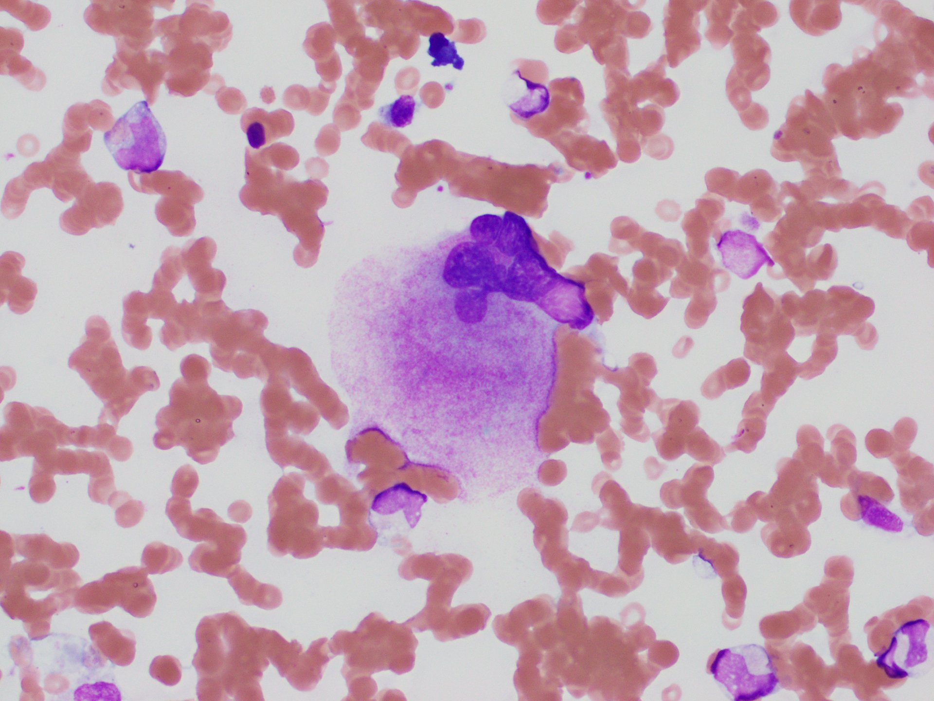
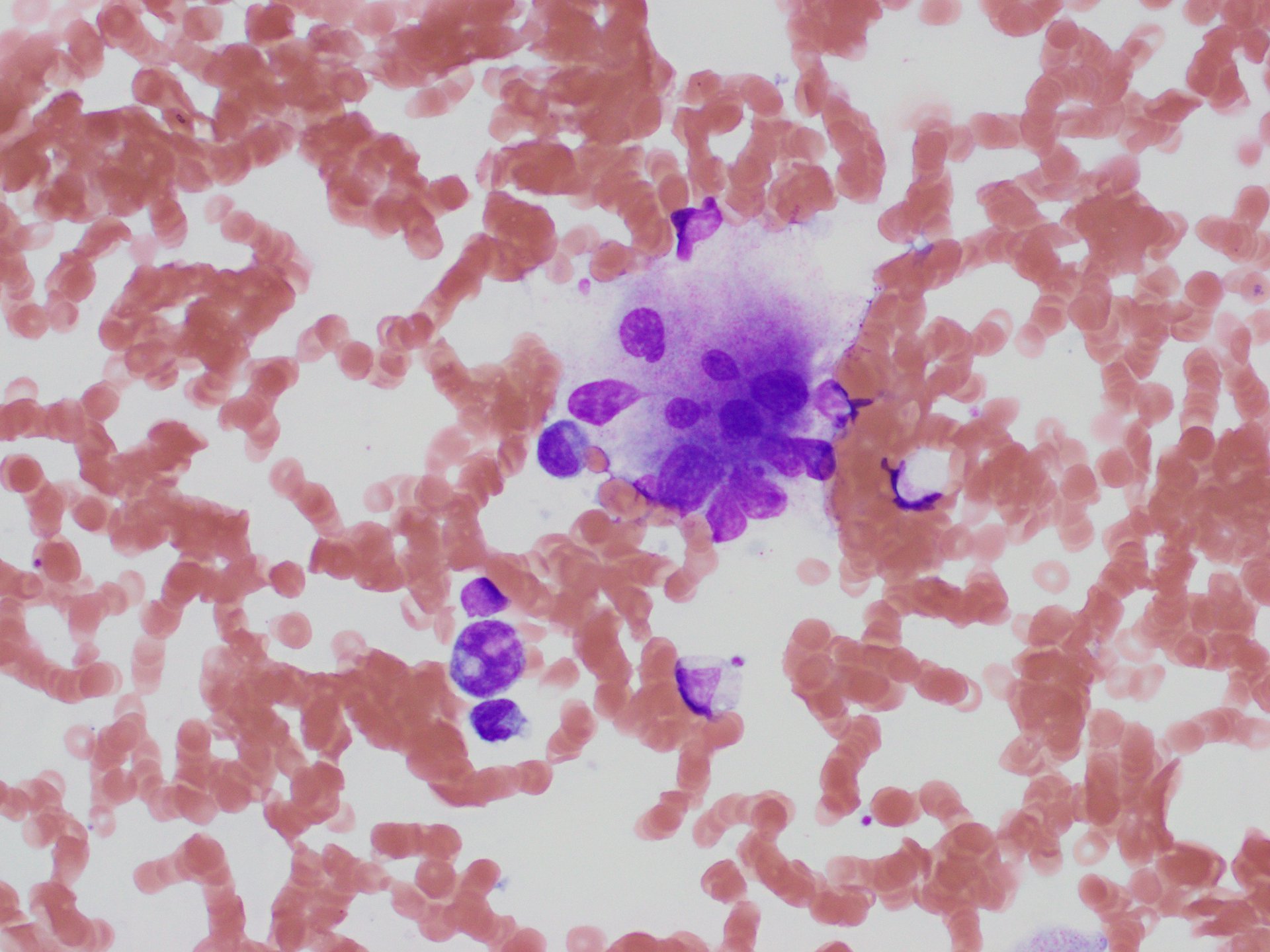
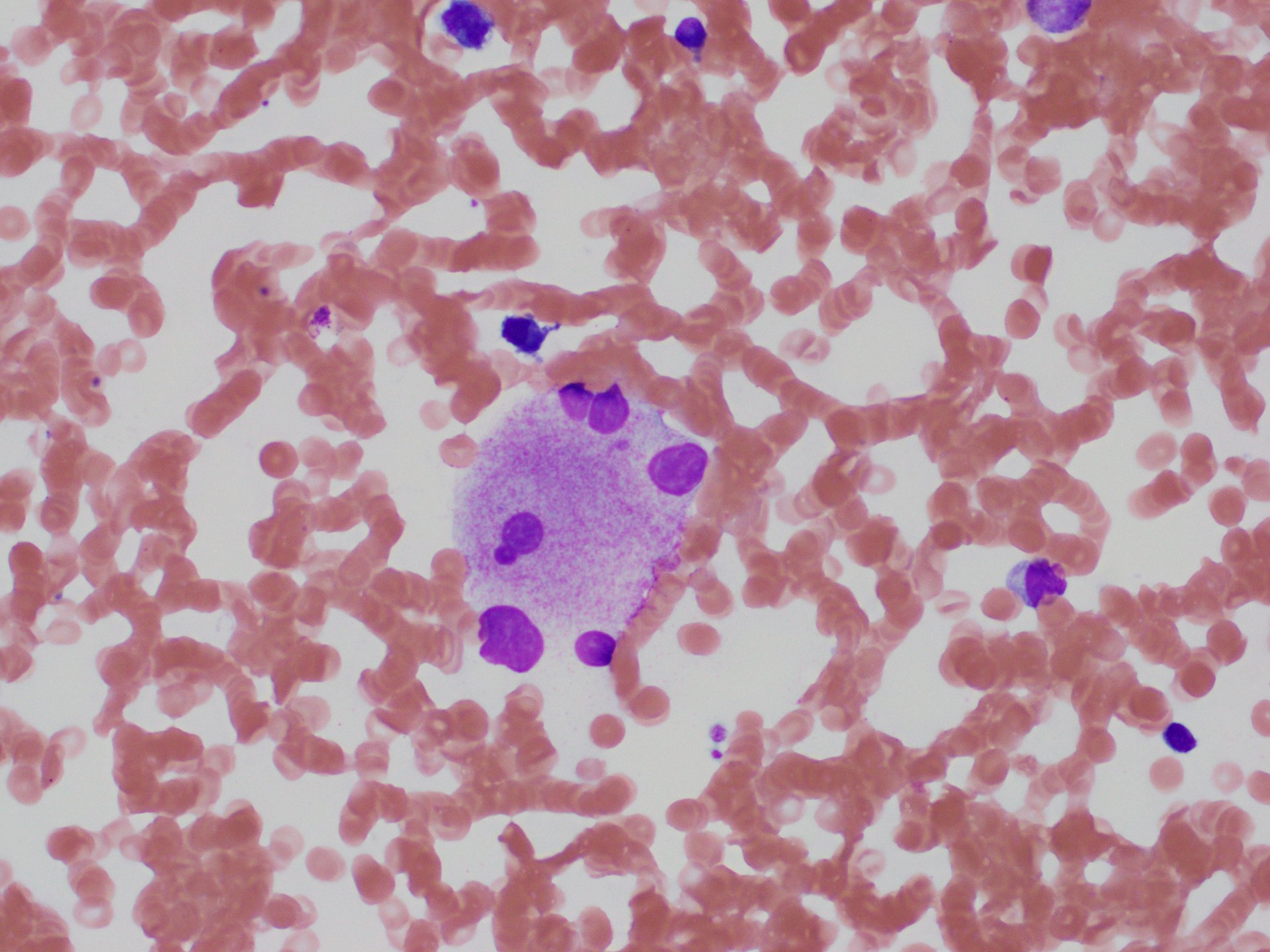
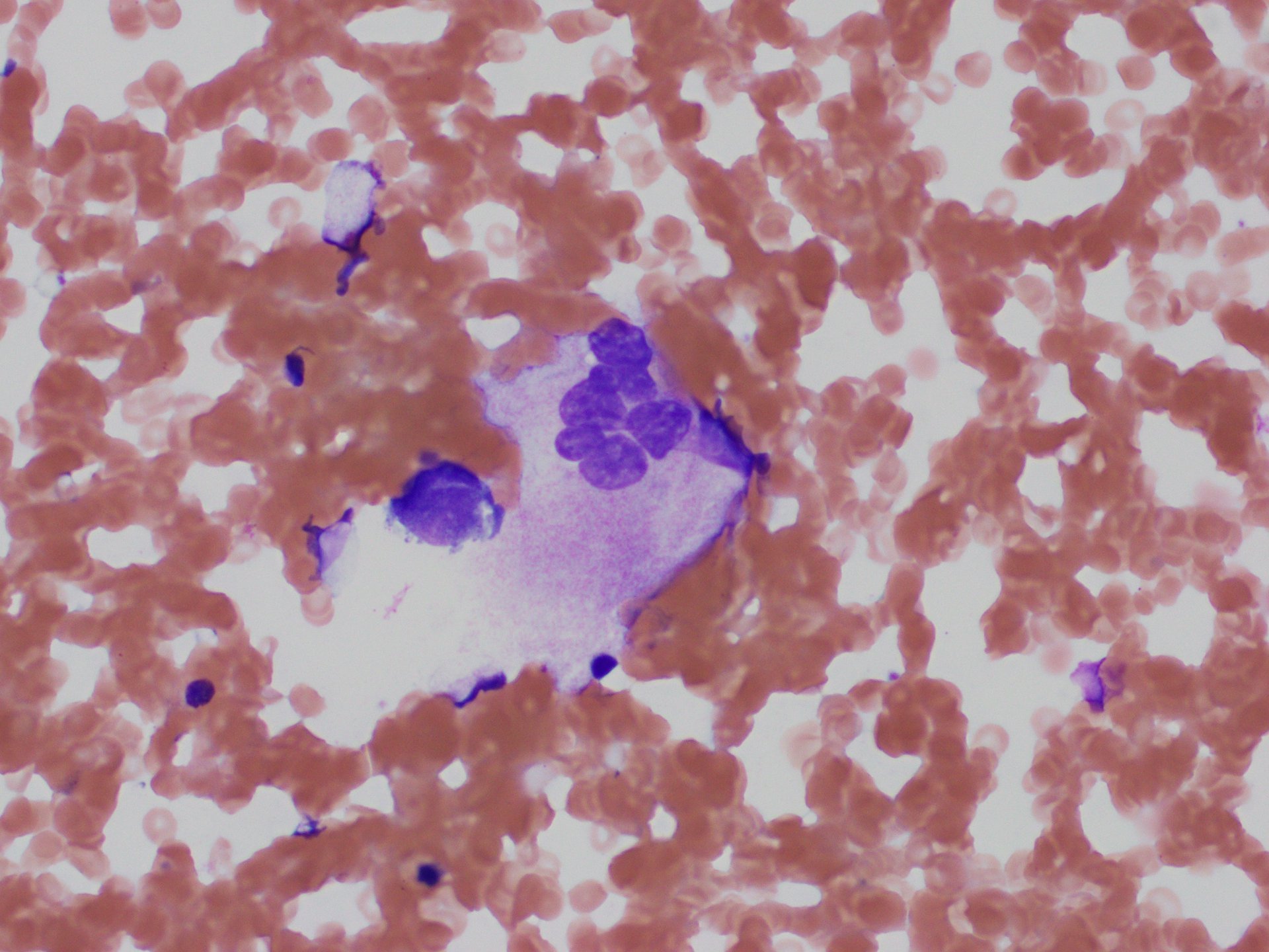
Bone marrow smearの所見†
異常な巨核球が出現する.
smear May-Giemsa
smear May-Giemsa
smear May-Giemsa
smear May-Giemsa
s
smear May-Giemsa
smear May-Giemsa
smear May-Giemsa
smear May-Giemsa
smear May-Giemsa
hemophagocytosis 血球貪食像
smear May-Giemsa
smear May-Giemsa
smear May-Giemsa
smear May-Giemsa
smear May-Giemsa
smear May-Giemsa
smear May-Giemsa
smear May-Giemsa
smear May-Giemsa
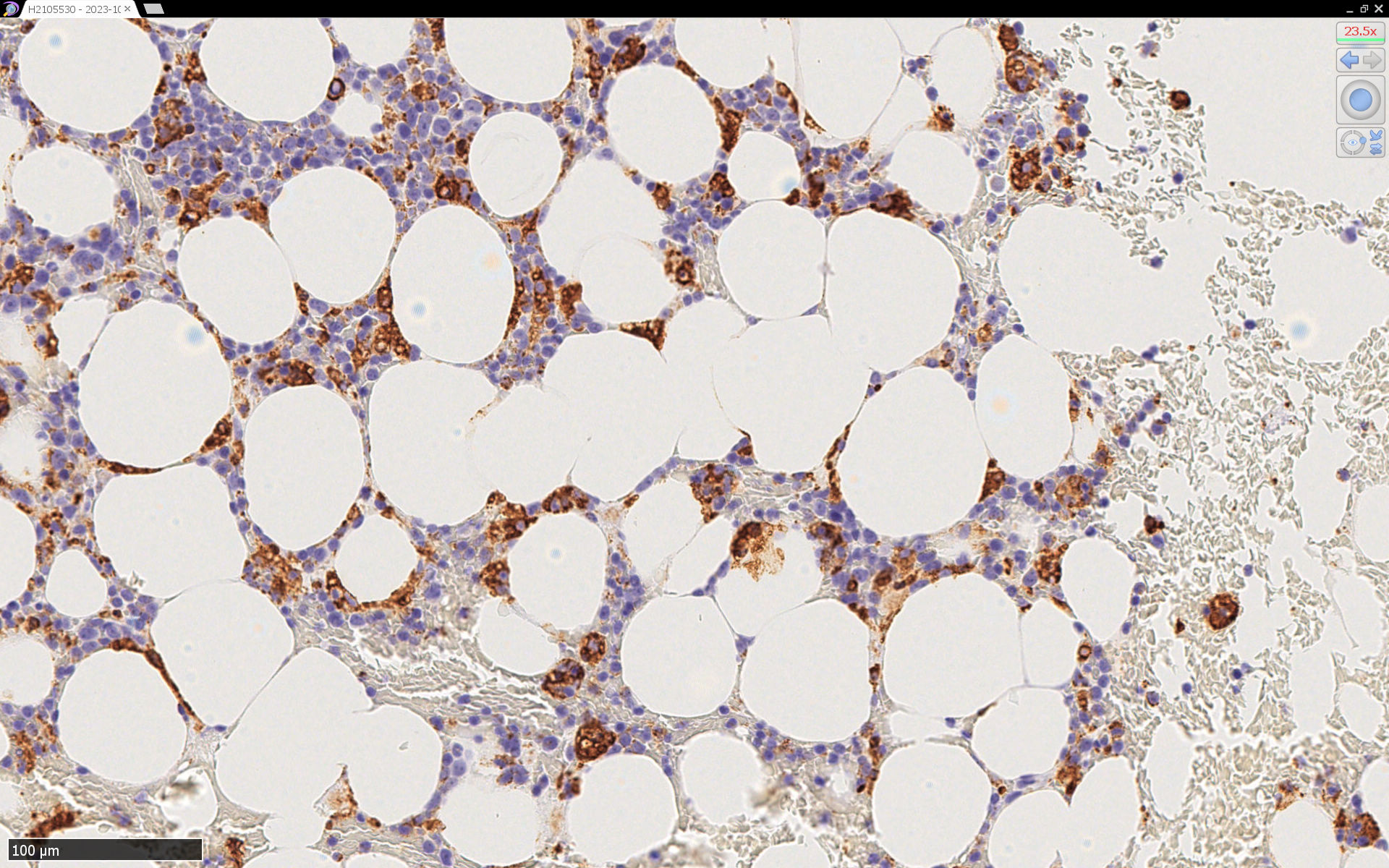
CD68(KP-1)
CD68(PG-M1)
巨大血小板
smear May-Giemsa
治療(up to date anywhere 2024/1/14)
- SFTSの治療に利用できる抗ウイルス療法はない。重症化と合併症の早期発見が重要である。
- SFTS患者の治療にリバビリンを使用することが報告されているが、治療効果に関する説得力のある証拠はない [92,111] 。
- ピラジン誘導体であるファビピラビルは、in vitroおよびマウスモデルにおいて、リバビリンよりも強い抗ウイルス活性を有する [112,113]。
- 日本のSFTS患者23人を対象としたファビピラビルの研究では、日本のSFTS患者の他の症例シリーズと比較して死亡率が低かったが、肝酵素上昇などの有害事象がより頻発した [114] 。
- 中国で行われた研究者主導の単盲検ランダム化比較試験では、致死的転帰がファビピラビル投与患者の9.5%(74例中7例)、対照患者の18.3%(71例中13例)に認められた(OR、0.466;95%CI、0.17-1.25)。この試験におけるファビピラビルの投与量は、エボラウイルス疾患の治療に使用される量よりも低く、重篤な有害事象は観察されなかった [115] 。
- ファビピラビルは、70歳以上の患者と比較して70歳以下の患者により有益であることを示唆するデータもある [116]。ファビピラビルの予備的なデータは有望であるが、注意深くコントロールされた試験によるさらなるデータが必要である。
- アナプラズマ症とツツガムシ病が流行している地域では、診断検査結果が出るまで、これらの感染症に対するドキシサイクリンによる経験的治療が妥当であろう。SFTSとツツガムシ病またはリケッチア・ジャポニカとの重複感染が起こることがある [33,117-119] 。
- 出血性合併症は、国際標準化比/プロトロンビン時間に基づいて、新鮮凍結血漿または新鮮全血の輸血により管理すべきである [120] 。
- 血漿交換が有益であることを示唆する報告もある [121-123] ;対照臨床試験が必要である。
- 限られたデータに基づくと、ステロイド治療は予後を改善しないようであり、侵襲性アスペルギルス症などの二次感染を含む合併症を増加させる可能性がある [124-126] 。
- 侵襲性肺アスペルギルス症の早期診断と治療は重要である [90,127,128] 。