Tick bite

Severe fever with thrombocytopenia syndrome - SFTS, 重症熱性血小板減少症候群

SPS-No297_11Oct2025, 浜松医科大学付属病院(藤広先生発表例)

60歳代 男性. SFTSで死亡、剖検により侵襲性アスペルギルス症が確認された.

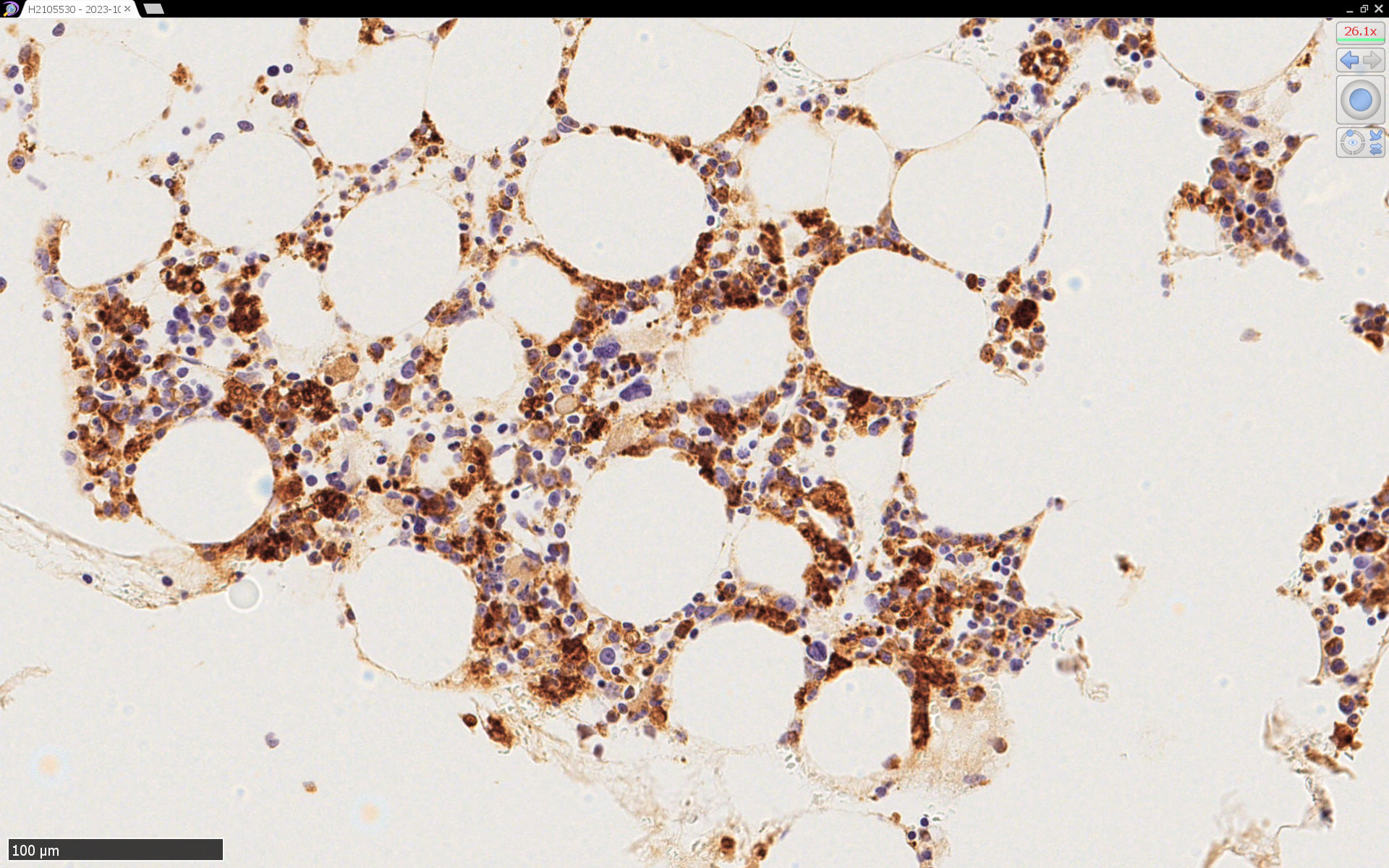
SFTSの骨髄病理所見

症例の報告, 骨髄病理所見--IWT case

80歳代男性. 茶畑で作業中, 日常的にダニ咬傷あり. X月22日夜間発熱. 2日後にM病院救急外来受診. SARS-CoV-2陰性. 血液検査, 胸部X-p検査を行い. 異常なし. 解熱剤投与でいったん帰宅する.
25日も発熱が持続, CBCで白血球減少, 血小板減少あり, M病院入院し, 抗生剤の投与を受ける. 26日血小板減少進行, ダニとの接触歴より, 血清, 咽頭拭い液, 尿を環境衛生検査所へ送付. 27日(発熱より5日め)血清でSFTSV PCR陽性. SFTSの診断となる. IWT hospital転院. 転院時意識低下傾向あり.

既往歴: 濾胞性リンパ腫. 化学療法により寛解状態が続いている.

CBC; RBC 382x104/μl, Hb 10.8g/dl, Ht 32.5, MCV 85.1, MCHC33.2, ret.0.27, WBC 700μl, diff. st6.0, seg 4.0, Eo 0.0, Ba 0.0, Mo25.0, Ly 63.0, atypical Ly2.0%, plt. 2.3x104/μl
Fe 109, UIBC 86, ferritin 12973. CRP(定量)1.16, プロカルシトニン 2.87(H)

作成中 サムネイルをクリックすると大きな画像が見られます.

Bone marrow smearの所見

異常な巨核球が出現する.

hemophagocytosis 血球貪食像

巨大血小板

治療(up to date anywhere 2024/1/14)


*1  Hiraki T, et al Two autopsy cases of severe fever with thromocytopenia syndrome(SFTS) in Japan: A pathognomonic histological feature and unique complication of SFTS. Pathol Int 2014; 64: 569-575
*2  96 Xu Y, Shao M, Liu N, et al. Invasive pulmonary aspergillosis is a frequent complication in patients with severe fever with thrombocytopenia syndrome: A retrospective study. Int J Infect Dis 2021; 105:646.
*3  135 Iwao K, Kawaguchi T, Kimura M, et al. Severe Fever with Thrombocytopenia Syndrome Accompanied by Invasive Pulmonary Aspergillosis: An Autopsy Case. Viruses 2021; 13.
*4  136 Zuo Y, Wang H, Huang J, et al. Pulmonary infection in patients with severe fever with thrombocytopenia syndrome: A multicentre observational study. J Med Virol 2023; 95:e28712.

トップ   新規 一覧 検索 最終更新   ヘルプ   最終更新のRSS