Bone Marrow Histopathology

bone marrow necrosis 骨髄壊死

骨髄壊死(BMN)は,造血性骨髄(BM)の髄質間質と骨髄組織の広範囲な壊死を特徴とするユニークな臨床病理学的病態であり、無定形の好酸性背景、由来不明瞭な壊死細胞、皮質骨の温存が認められる.*1

骨髄壊死はまれな病態である.--8年間に1,083例の骨髄生検から23例のBMNが検出され、有病率は2.2%(*).(MD Anderson Cancer Center)*2 このデータは相対的に低値(理由は下記)

症例:bone marrow necrosis

81 year-old female

発熱で発症. 感染症が疑われ, 前医で感染源不明のまま抗生剤治療を受けた. 炎症は改善と増悪を繰り返していた. 微熱の持続, 倦怠感の増悪があり1ヵ月後, 高LDH血症で当院に紹介となった. 検査で炎症反応は乏しく, CT、尿検査などで感染巣は確認できていない.
高LDH血症, 軽度の脾腫, 末梢血に芽球細胞(1.0%のみ) が検出され, 血液腫瘍の可能性から血液内科に紹介となった.

末梢血;RBC 427x104/μl,, Hb 12g/dl, Ht 36%, ret 12‰, MCV 84.3, MCHC 33.3, WBC 5000/μl diff., Met2.0, St 4.0%, Seg 78.0%, Eo1.0%, Ba 1.0%, Mo3.0%, Ly 10.0%, blast 1.0%, plt. 18.7x104/μl.
AST 39U/l, ALT 13U/l, LDH 1074U/l, (分画はLDH3, 4が高値)γGTP 31U/l, BUN 9mg/dl, Cre0.51mg/dl, UA3.6mg/dl, Na 135mmol/l, K 4.2mmol/l, Cl 99 mmol/l, TP 6.8g/dl, Alb 3.6g/dl, T-Bil1.1mg/dl, BS234mg/dl, ferritin 376ng/ml, CRP 2.72mg/dl, IgG 1075mg/dl, IgA 139mg/dl, IgM 152mg.dl.

骨髄生検組織所見

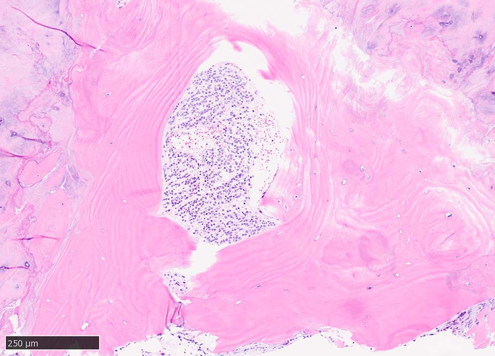
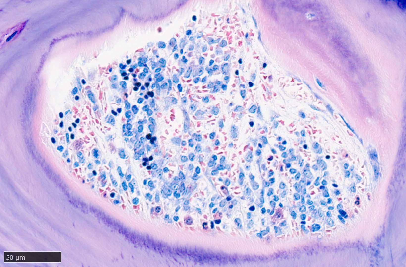
骨髄生検組織では骨梁間に壊死に陥った細胞の凝固壊死像が確認できる. 本例では脂肪細胞は消失せず形態が残っている.壊死のあとには, 髄腔に線維化をきたす. 上図には線維化を示し, 右端の図では壊死巣と線維化の境界が観察される.

 
 

本例ではviableな腫瘍細胞がハーバース管と考えられる管内に認められた.(髄腔とハーバース管腔は解剖学的に同じ場所といえるのか?)

ハーバース管は緻密骨内の骨構造であり, 管内には動静脈, 脈管周囲リンパ管, 神経線維が入る. 解剖学的に海綿骨骨髄腔とは異なる空間構造と考えられる.--viableな腫瘍細胞の存在はリンパ管、血管内への腫瘍浸潤と考えられる.

ハーバース管


*1  Maisel D, Lim JY, Pollock WJ, Liu PI. Bone marrow necrosis: An entity often overlooked. Ann Clin Laboratory Sci 1998;18:109-115.
*2  Paydas S, Ergin M, Baslamisli F, et al. Bone marrow necrosis: clinicopathologic analysis of 20 cases and review of the literature. Am J Hematol. 2002; 70(4):300-305. [PubMed: 12210811]
*3  Wade L, Stevenson L. Necrosis of bone marrow with fat embolism in sickle cell anemia. Am J Pathol 1941;17:47-54.
*4  Kiraly JF, Wheby MS. Bone marrow necrosis. Am J Med 1976;60:361-368.
*5  Norgard MJ, Carpenter JT, Conrad ME. Bone marrow necrosis and degeneration. Arch Intern Med 1979;139:905-911.
*6  Nies BA, Kundel DW, Thomas LB, Freireich EJ. Leukopenia, bone pain and bone necrosis in patients with acute leukemia. Ann Intern Med 1965;62:698-705.
*7  Jassens AM, Offner FC, Van Hove WZ. Bone marrow necrosis. Cancer 2000;88:1769-1780.
*8  Penanforte JL, Dufour M, Etienne JC, Schvartz H, Caulet T. Diagnostic problems in bone marrow necrosis: acute. Report of a case revealing acute leukemia. Arch Anat Cytol Pathol 1986;34:111-116.

トップ   新規 一覧 検索 最終更新   ヘルプ   最終更新のRSS